POR LA DRA. ANA KARINA COURT PINTO
La resorción dentaria es la pérdida de tejido dentario duro como resultado de la acción odontoclástica. La resorción cervical invasiva (RCI), también denominada resorción cervical externa, es un tipo específico de resorción agresiva e invasiva (1,2).
ETIOLOGÍA
Su causa es desconocida, pero se han propuesto distintos factores que podrían estar relacionados. Entre ellos encontramos traumatismos dentarios, blanqueamiento interno, ortodoncia, procedimientos quirúrgicos, enfermedades autoinmunes, virus de la varicela zóster, virus de la hepatitis B, infecciones virales del sistema nervioso e ingesta de bifosfonatos (2,3).
Entre las posibles etiologías, se ha establecido una relación entre la RCI y la presencia de un defecto en la unión amelocementaria. El cemento y el ligamento periodontal protegen a la dentina. Si existe una brecha entre esmalte y cemento, hay exposición de la dentina y las células osteoclásticas se adhieren a su superficie e inician el proceso resortivo (1,2,3). Los dientes más afectados son los incisivos y caninos superiores, y los primeros molares superiores e inferiores (3,4).
Se han descrito tres etapas en la progresión de la RCI (4,5):
- Inicio: hay destrucción o interrupción de la estructura normal del ligamento periodontal, lo que estimula la formación de un coágulo de sangre, seguido por un proceso inflamatorio localizado. Se forma un tejido de granulación. Este tejido entra en contacto con la dentina a través de un área expuesta en la unión amelocementaria. El tejido adyacente a la dentina expuesta (óseo, ligamento periodontal o tejido conectivo gingival) determina si ocurre o no resorción. Las células del tejido óseo ocasionarán una resorción por reemplazo o anquilosis. Las células del ligamento periodontal provocarán una regeneración del ligamento y la formación de cemento. Si son células del tejido conectivo gingival, no habrá reparación.
- Una vez iniciada la resorción, debe existir un factor estimulante para que siga avanzando. Este factor puede ser infeccioso, mecánico o ambos.
- Progresión de la resorción: hay destrucción de esmalte, dentina y cemento por células clásticas. La lesión se extiende dentro de la dentina (circunferencial y longitudinalmente). El tejido pulpar no participa en la RCI. La presencia de una capa resistente a la resorción evita que la lesión alcance el sistema de conductos radiculares, por lo que el tejido pulpar mantiene su vitalidad. Sin embargo, en casos avanzados puede ocurrir perforación del conducto radicular.
- Etapa reparativa: formación de tejido osteoide que rellena la cavidad resortiva. El tejido reparativo y la estructura dentaria eventualmente forman parte de la estructura ósea alveolar normal. Se considera una forma de reparación. Este fenómeno es el responsable del cambio en el aspecto radiográfico que se da con el paso del tiempo.
DIAGNÓSTICO
En muchos casos, no hay cambios clínicos ni síntomas, por lo que es un hallazgo radiográfico. Si la lesión ha alcanzado el tejido pulpar, el paciente desarrollará síntomas y buscará atención odontológica. Se presenta una lista de signos sugerentes de RCI (1,2,5,6):
̶ Clínicos:
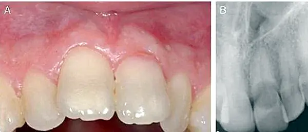
- Mancha rosada en tercio cervical de la corona dentaria (ver figura 1).
- Respuesta a las pruebas de sensibilidad revelan vitalidad pulpar, a menos que la lesión haya alcanzado el sistema de conductos radiculares.
- Sangrado profuso al sondaje periodontal.
- Presencia de cavidad resortiva en cervical de la corona dentaria.
̶ Radiográficos:
- Aspecto radiográfico no es patognomónico.
- Imagen radiolúcida en etapa resortiva en área cervical. Puede extenderse a la dentina radicular.
- Radiolucencias asimétricas o simétricas, con bordes difusos o definidos.
- Imagen radiopaca moteada en etapa reparativa.
- Conducto radicular intacto, lo que ayuda a diferenciarlo de una resorción radicular interna.

Figura 1. A. Coloración rosada en tercio cervical del 2.1 (Imagen radiográfica (Patel, 2009)
Para la evaluación de los casos de RCI y la determinación del pronóstico y plan de tratamiento, Heithersay (6) desarrolló una clasificación (Figura 2).
Se distinguen cuatro clases:
- Clase 1: lesión pequeña en el área cervical con poca extensión en la dentina. Clínicamente, puede observarse una irregularidad en el contorno gingival. Radiográficamente, se observa una pequeña radiolucencia coronal correspondiente a la lesión.
- Clase 2: lesión definida cerca de la pulpa coronal con poca o ninguna extensión en la dentina radicular. Clínicamente, se puede observar coloración rosada en la corona. Radiográficamente, presencia de una radiolucencia en el área cervical de la corona dentaria y cerca del conducto.
- Clase 3: lesión con extensión más profunda en la dentina, desde la corona hasta el tercio cervical de la raíz. Clínicamente, la corona podría presentar una coloración rosada y cavitación del esmalte. Radiográficamente, se observa una imagen radiolúcida.
- Clase 4: lesión amplia que se extiende más allá del tercio coronal de la raíz. Clínicamente, se puede observar una coloración rosada en la región cervical de la corona dentaria. La radiografía muestra una imagen radiolúcida en la corona y líneas radiolúcidas que se extienden a lo largo del conducto radicular y que pueden llegar hasta el tercio apical.

Figura 2. Clasificación de Heithersay
Por su naturaleza invasiva, un diagnóstico a tiempo mejora el pronóstico. La Asociación Americana de Endodoncia y la Sociedad Europea de Endodoncia recomiendan usar la tomografía computarizada de haz cónico (TCHC) de campo de visión limitado o pequeño para la evaluación de las resorciones.
Este examen permite la ubicación y determinación precisa del tamaño de la lesión, superando las limitaciones de la radiografía periapical. La visión tridimensional facilita la evaluación de la lesión, sin superposición de otras estructuras y distorsión geométrica.
De esta manera, surge una clasificación que toma en cuenta el aspecto de la lesión en las imágenes tomográficas. Esta clasificación identifica tres elementos (7):
- Altura: se establece de acuerdo a la extensión vertical máxima de la lesión en la superficie radicular y en relación con la cresta ósea. La raíz es dividida, usando la unión amelocementaria y el ápice dentario como puntos de referencia, en tercios coronal, medio y apical. Para establecer la altura, se utilizan radiografías periapicales y los cortes sagital y coronal de la TCHC. Se divide en cuatro tipos:
- A nivel de la unión amelocementaria o coronal a la cresta ósea (supracrestal).
- Se extiende al tercio coronal de la raíz y apical a la cresta ósea.
- Se extiende al tercio medio de la raíz.
- Se extiende al tercio apical de la raíz.
- Extensión circunferencial: se clasifica de acuerdo a la máxima extensión dentro de la raíz. Se evalúa en el corte axial de la TCHC.
- A: menos o igual a 90°.
§ B: Entre 90° y 180°.
§ C: Entre 180° y 270°.
§ D: Más de 270°.
- Proximidad al conducto radicular: se evalúa en las vistas axiales de la TCHC.
- d: lesión limitada a dentina.
§ p: probable compromiso pulpar.
Estos tres aspectos juntos ofrecen información acerca del avance tridimensional de la lesión.

Figura 3. Ejemplo de clasificación tridimensional: altura, extensión circunferencial y proximidad al conducto radicular (Patel, 2018).
TRATAMIENTO
Dependiendo del grado de avance de la RCI, se decidirá cuál es la terapéutica más adecuada. El objetivo es la inactivación del tejido resortivo activo y la reconstrucción o sellado del defecto (5).
Los factores a evaluar para seleccionar el tratamiento serán el grado de avance, la ubicación y la posibilidad de restauración del diente. También se debe considerar si la lesión ha perforado o no el sistema de conductos radiculares (1).
El tratamiento incluye levantamiento del colgajo para tener acceso a la lesión, eliminación mecánica y química del tejido resortivo, sellado de la cavidad y posterior seguimiento de los casos (1,5). Para lesiones pequeñas, el éxito es bastante alto. A medida que la lesión avanza, el pronóstico se vuelve desfavorable y, en muchos casos, se recomienda la exodoncia (5).
CONCLUSIÓN
El diagnóstico de una RCI suele ser difícil y, en muchas ocasiones, confuso. Cuando se encuentra ya en contacto con el sistema de conductos radiculares, se diagnostica erróneamente como resorción radicular interna por su aspecto radiográfico.
Por su aspecto clínico, en ocasiones tiende a confundirse con una lesión por caries. De ahí la importancia de conocer esta lesión, sus características clínicas y radiográficas, además de su comportamiento insidioso y destructivo. Una lesión diagnosticada a tiempo tendrá un mejor pronóstico.
REFERENCIAS:
1. Patel S, Kanagasingam S, Ford T. External cervical resorption: A review. J Endod 2009; 35 (5): 616–625. Disponible en https://www.jendodon.com/article/S0099-2399(09)00090-9/fulltext.
2. Kandalgaonkar S, Gharat L, Tupsakhare S, Gabhane M. Invasive Cervical Resorption: A Review. J Int Oral Health 2013; 5(6):124-30. Disponible en
3. Jeng P, Lin L, Chang S, Lee Y, Wang C, Jeng J, Tsai Y. Invasive cervical resorption—distribution, potential predisposing factors and clinical characteristics. J Endod 2020, 46 (4): 475 – 482. Disponible en https://www.jendodon.com/article/S0099-2399(20)30037-6/fulltext.
4. Patel S, Mavridou A, Lambrechts P, Saberi N. External cervical resorption-part 1: histopathology, distribution and presentation. Int Endod J, 2018 51: 1205 – 1223.
5. Mavridou A, Hauben E, Wevers M, Schepers E, Bergmans L, Lambrechts P. Understanding external cervical resorption in vital teeth. JEndod, 2016, 42 (12): 1737 – 1751. Disponible en https://www.jendodon.com/article/S0099-2399(16)30342-9/pdf.
6. Heithersay G. Invasive cervical resorption. Endod Topics 2004, 7 (1): 73–92. Disponible en https://onlinelibrary.wiley.com/doi/abs/10.1111/j.1601-1546.2004.00060.x.
7. Patel S, Foschi F, Mannocci F, Patel K. External cervical resorption: a three-dimensional classification. Int Endod J, 2018, 51: 206 – 214.


