POR EL DR. NELSON GERARDO RODRÍGUEZ
La fotografía dental es pieza fundamental en la práctica diaria de la odontología convirtiéndose en una herramienta de diagnóstico, planificación de tratamientos y seguimiento de los procedimientos clínicos, con la cual podemos valorar el estado inicial del paciente y seguir su evolución en el tiempo.
Estas imágenes servirán de base para la recopilación de datos y comunicación exitosa entre el equipo clínico y profesional. Con la fotografía logramos mantener mejor comunicación con el laboratorio dental, pudiendo valorar de una manera más exacta formas, tamaños, textura y color, obteniendo así mejores resultados.
A través de los archivos fotográficos podemos realizar planificaciones y diseños digitales logrando que la interacción con los pacientes sea más sencilla y didáctica, ayudando a conseguir las soluciones apropiadas para cada uno ya que una imagen vale más que mil palabras.
La fotografía permite expresarnos de una forma creativa para captar la atención de potenciales paciente a través de las redes sociales y marketing digital que se ha vuelto tan esencial en nuestra actualidad.
“El componente más importante de una cámara está detrás de ella” Ansel Adams
Antes de empezar debemos conocer 3 parámetros fundamentales en la fotografía como es el triángulo de exposición (diafragma, ISO y velocidad de obturación) que debemos entender y manejar:
1. El diafragma:
Parte del sistema óptico que regula la cantidad de luz que entrará a la cámara, representado por valores f (2.8, 6,8, 16, 22, 32).
2. El ISO:
Escala de sensibilidad que nos proporciona el sensor, su capacidad de captar luz. 100, 200, 400, 800.
3. La velocidad de obturación:
Expresa la cantidad de tiempo que estará abierto el obturador regulando la cantidad de luz que entra en el sensor de nuestra cámara, podemos congelar imágenes como hacer fotografías de larga exposición. Se representa en fracciones de segundos 1/60, 1/100, 1/125, 1/500.
Para empezar a manejar nuestro equipo fotográfico debemos tener una mínima noción sobre fotografía, aunque lo ideal es estandarizar y protocolizar nuestros estudios fotográficos, siempre debemos entender el porqué de las cosas y no esperar una simple receta.
En las fotografías dentales debemos conseguir la mayor profundidad de campo, es decir que todos los objetos que aparezcan en el cuadro fotográficos sean lo más nítido posible. El principal factor para controlar la profundidad de campo es el diafragma. A menor apertura (números altos) mayor profundidad de campo, y a mayor apertura (números pequeños) menor profundidad de campo (figura a). Por ejemplo, f 22 tiene mayor profundidad de campo que f 8 (Figura b-c), esto quiere decir que todo lo que está por detrás de la imagen con f 22 estará más nítido que todo lo que está detrás en la imagen con f 8 (Figura b-c).

Figura a

Figura b y c
FOTOGRAFÍA CLÍNICA
Como clínicos debemos realizar mínimo dos tipos de fotografías de diagnóstico:
- Fotografías extraorales (retrato o faciales).
- Fotografías intraorales.
¿Qué equipo fotográfico se necesita?
- Cámara réflex o cámara mirrorless.
- Objetivo macro de 60 mm o de 100 mm (dependiendo del tipo de sensor de la cámara, APS-C / fulframe).
- Equipo de iluminación (twin flash, ring flash o softbox).
¿Qué equipo complementario se necesita?
- Espejos intraorales.
- Retractores labiales.
- Contrastadores negros.
El sensor de la cámara es el corazón de nuestro equipo, es el elemento fotosensible. Entre la gran variedad están los sensores APS-C o factor recortado (24 x 16 mm) y los full frame (36 x 24 mm).
Fotografías extraorales:
- Fotografía frontal en reposo.
- Fotografía frontal en sonrisa.
- Fotografía ¾ derecha en reposo.
- Fotografía ¾ derecha en sonrisa.
- Fotografía perfil derecho en reposo.
- Fotografía perfil derecho en sonrisa.
- Fotografía ¾ izquierdo en reposo.
- Fotografía ¾ izquierdo en reposo.
- Fotografía perfil izquierdo en reposo.
- Fotografía perfil izquierdo en reposo.

Figura 1
Fotografías extraorales frontales:
- Paciente 60 cm por delante del fondo para reducir las sombras.
- La cabeza de modo que la línea bipupilar quede paralela al suelo.
- La Cámara verticalmente a la altura de los ojos del paciente.
- El encuadre: vertical siempre hasta un punto por encima de la cabeza.
- Enfocar la cámara en los ojos del paciente.
- Paciente debe llevar el cabello recogido, dejar visible el cuello, orejas y frente.
- Si el paciente lleva gafas deben retirárselas.
Fotografías de perfil:
- Cuerpo girado, mostrando su perfil. Mirando al infinito.
- Paciente unos 60 cm por delante del fondo para reducir las sombras.
- Plano de Frankfort paralelo al suelo.
- Encuadre: vertical siempre hasta un punto por encima de la cabeza. tienen que quedar visibles el perfil y la nuca.
- Enfocar la cámara a punto medio del arco cigomático.
Configuración de la cámara para fotografía extraoral:
- Velocidad de obturación 1/125
- Diafragma entre f8 – f14
- ISO 100 – 400 dependiendo del tipo de flash y potencia.
Normalmente si utilizamos ring flash o twin flash para las fotografías extraorales colocamos el ISO en 400 y una potencia de flash 1/2. Algún cambio puede incluirse dependiendo de la distancia entre cámara y sujeto.
FOTOGRAFÍA INTRAORAL
Requisitos para fotografías intratraorales:
- Mantener dientes y labios limpios de elementos extraños a la boca.
- Evitar la contaminación con saliva, sangre u otro elemento distractor de la imagen.
- Los espejos intraorales no deben estar empañados ni rayados.
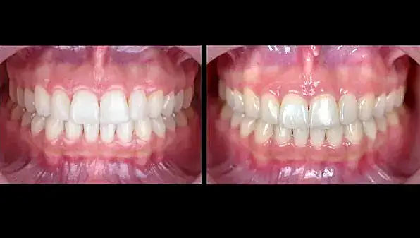
Realizamos un mínimo de 5 fotografías intraorales:
- Máxima intercuspidación.
- Fotografía lateral derecha.
- Fotografía lateral izquierda.
- Oclusal superior.
- Oclusal inferior.


Las fotografías laterales fueron realizadas de forma directa sin espejos, retrayendo un lado y el otro lado no. Esto se hace para mayor retracción del lado a fotografiar, tomando en cuenta como referencia importante la visión lo más lateral posible, donde se pueda observar la clase molar y clase canina (figura 2 y 4).
En las fotografías oclusales usamos un separador anterior o modificado para tener mayor retracción, y al momento de la toma se coloca aire sobre el espejo con la jeringa triple para evitar que se empañe (figura 5 y 6).
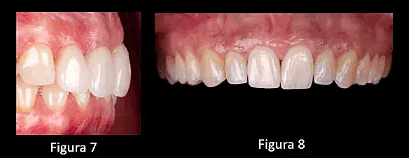
Fotografías extras:
- Resalte.
- Fotografía del sector anterior con contrastadores.

Estas fotografías la realizamos colocando un contrastador o guantes negros por detrás, o debajo de la zona a fotografiar (figura 7-8). En este tipo de fotografía utilizamos retractores modificados, buscando la mayor retracción posible (Figura 8).
A este protocolo de fotografía podríamos sumarle:
- Fotografía de la guía canina.
- Fotografía lado de trabajo y lado de balance.
- Fotografía de la guía anterior.
- Fotografía 12 horas.
- Fotografía de simetría facial.
- Fotografías creativas y artísticas.
El mundo de la fotografía es muy amplio y debemos conocer, tanto nuestros equipos, como paraqué serán utilizadas las imágenes. Este protocolo presentado es muy sencillo y de fácil elaboración para poder lograr que las fotografías sean repetitivas, manteniendo las mismas directrices y parámetros obteniendo un banco de imágenes con la misma calidad, iluminación y encuadre.
Debemos tener una práctica continua para alcanzar un estándar de calidad tan exigente como el de cada una de nuestras especialidades.
“Las buenas fotografías no se hacen solas, incluso con una buena cámara” Ralph y Jacob, Fundadores de 1x.com
REFERENCIAS:
1. Salgano, M. Manual de fotografía clínica para el odontólogo. Primera Edición. Venezuela. Ed. Amolca. 2014.
2. Revell, J. Canon EOS 600D. Primera edición al español. España. Anaya multimedia. 2012.
3. S/A. Fotoinspiración macrofotografía. Primera edición española. Anaya multimedia. 2015.
4. Donner, N. Understanding exposure for better photos now beginner photography tutorials.
5. Bazos, P., Magne, M. Demystifying the dental Photography workflow.


